Verwijzen naar de endodontoloog

uitleg

Wat is endodontologie

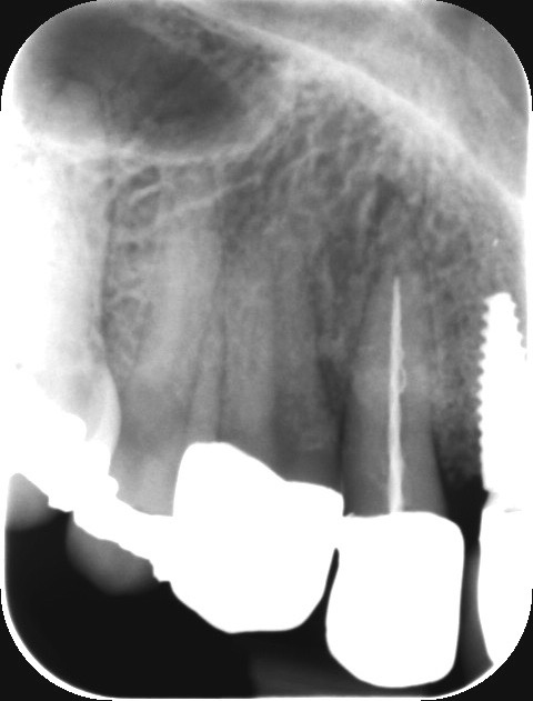
Endodontologie is de wetenschap van wortelkanalen. Tanden en kiezen bestaan uit een kroon en een wortel. In iedere wortel loopt een kanaal: het wortelkanaal. Het wortelkanaal bestaat uit bindweefsel, zenuwweefsel en bloedvaten. Wij noemen dit de pulpa. Door tandbederf, lekkende kroon of vulling of door een val kan de pulpa ontstoken raken. Dit is vaak pijnlijk, maar vaak geeft de ontsteking geen klachten. De pulpa zal uiteindelijk afsterven en door infectie in het wortelkanaal ontstaat er een ontsteking van het kaakbot rondom de wortel. Op een röntgenfoto is zo'n foto meestal zichtbaar als een zwarte cirkel rondom de wortelpunt. Omdat een ontstoken pulpa of ontstoken kaakbot rondom de wortelpunt niet alleen voor pijn kan zorgen, maar ook een gevaar voor de tand of kies betekent, zal de tandarts een wortelkanaalbehandeling uitvoeren. Alle wortelkanalen worden goed schoongemaakt en opgevuld. Tijdens de behandeling worden er een aantal röntgenfoto's gemaakt, zodat het verloop van de behandeling goed gecontroleerd kan worden. Soms is het nodig om een wortelkanaalbehandeling opnieuw uit te voeren, bijvoorbeeld als de wortelpuntonsteking niet voldoende geneest of als er opnieuw klachten ontstaan. Dit noemen we een endodontische herbehandeling. Indien dit niet goed mogelijk is, kan een chirurgische behandeling een mogelijkheid zijn. 

Een tandarts-endodontoloog heeft een 3-jarige specialisatie gevolgd op het gebied van wortelkanaalbehandelingen .

Waarom Mondzorg Parkzicht?
Behandelingen

Wat doet een endodontoloog

diagnostiek

tandletsel bij kinderen en volwassenen, pijnklachten in de mond, diagnose onduidelijke pijnklachten gebit, diagnose endodontische problematiek

wortelkanaalbehandeling

lastige wortelkanaalbehandeling door aanwezigheid van kroon/brug, verkleurde tanden/kiezen, wortelkanaalbehandeling bij onvolgroeide tanden/kiezen, endodontische herbehandelingen, verwijderen afgebroken instrumenten in wortelkanaal

second opinion

Soms wilt u advies over uw tand/kies. Bijvoorbeeld om zeker te weten dat de tand/kies niet meer te behouden is of doordat er nog steeds klachten zijn aan de tand/kies.
behandeling

Verwijderen afgebroken instrumenten

Tijdens het vormgeven van het wortelkanaalbehandeling kunnen er instrumenten in het kanaal achterblijven. Wanneer het mogelijk is om het instrument zonder teveel schade aan de tand of kies te verwijderen, heeft dit de voorkeur.

behandeling

Revascularisatie

Als een nog onvolgroeide voortand afsterft heeft dit grote gevolgen voor de sterkte van de tand. De wortels zijn namelijk nog erg dun waardoor er grotere kans op breuk van de wortels is. Een nieuwe behandeltechniek is die van revascularisatie. Op de foto’s is behandeling  uitgevoerd van de linker snijtand (met pijl). De tand is door ongeval uit de mond geweest (avulsie). Ondanks terugplaatsen toch afgestorven. I.v.m. zeer wijd open wortelpunt is revascularisatiebehandeling uitgevoerd. De wortel is verder gaan afvormen (door orthodontische behandeling is wortel korter geworden) en is hierdoor veel sterker gebleven.

Aanbevelingen
Referenties van patiënten

Vakman die passie voor zijn werk uitstraalt en dit ook nog eens waar maakt in zijn behandeling. Nette en vriendelijke persoonlijkheid die op een goede manier weet uit te leggen welke behandeling je ondergaat. Een verademing dat er nog mensen zijn met zo'n dienstverlenende instelling!

Mocht je "tandartsvrees" hebben......hier gaat het helemaal over!!!

Super fijne tandarts pijnvrij geholpen.

Kundige tandarts. Ze weet me zeer gerust te stellen. Een vakkundige tandarts. Daarnaast meedenkend, proactief, vriendelijk en doortastend.Dhr. Vogels is een van de weinige gecertificeerde endodontologen in Noord- en Oost Nederland. Ik geef nooit het cijfer 10, maar hij verdient het.

Ik heb jarenlang last van angst gehad voor de tandarts, slapenloze nachten tot mijn achtiende. Toen kreeg ik mevr. Klein als tandarts en alle angst was weg. Tuurlijk is nog wel iets spanning als ik er heen moet maar de rest is weg en heb haar nu tien jaar als tandarts en is echt een aanrader. Ik ben heel blij dat mijn angst weg is!

Zeer fijne en kundige tandartsen. We zijn al jaren bij Tandarts Klein. En kunnen ons geen betere Tandarts wensen.

Op zoek naar een (nieuwe) tandarts? of Tandartsbezoek plannen?
Neem direct contact op!
Contact